¿Has escuchado hablar de las carillas de porcelana y te preguntas si son la opción ideal para ti? En este artículo, revelaremos todo lo que necesitas saber. ¡Te sorprenderá descubrir sus beneficios y cómo pueden transformar tu sonrisa!
¿Qué son las carillas de porcelana?
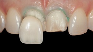
Las carillas de porcelana son finas láminas que se colocan en la parte frontal de los dientes para mejorar su apariencia estética. Estas carillas son ideales para corregir problemas como dientes manchados, desalineados o con espacios.

Diferencia entre carillas cerámicas y carillas dentales de porcelana
Las carillas cerámicas y las carillas de porcelana tienen similitudes, pero hay diferencias clave:
Carillas cerámicas: Están hechas de un material cerámico, y suelen ser un poco más gruesas. Son duraderas y resisten bien las manchas.
Carillas dentales de porcelana: Estas son aún más finas y ofrecen un acabado más natural. Son ampliamente preferidas por su apariencia y durabilidad.
Beneficios de las carillas de porcelana
- Mejoran la estética dental
- Solución rápida para dientes desalineados o manchados
- Duraderas y resistentes
- Cuidado sencillo, similar al de tus dientes naturales
¿Para quién son ideales?
Si vives en Santiago de Chile y buscas una solución estética para tu sonrisa, las carillas de porcelana podrían ser para ti. Son ideales si tienes dientes manchados, espacios entre dientes o dientes desalineados.
Proceso de aplicación
- Consulta inicial en nuestra clínica en Santiago de Chile.
- Preparación del diente.
- Toma de impresiones.
- Colocación de las carillas.
Preguntas frecuentes (FAQs)
- ¿Cuánto tiempo duran? En promedio, 10-15 años con el cuidado adecuado.
- ¿Son caras? Varían en precio, pero son una inversión en tu sonrisa.
- ¿Se manchan? Resisten bien las manchas, pero es bueno evitar ciertos alimentos y bebidas.
- ¿Se sienten naturales? Sí, después de unos días te acostumbras completamente.
- ¿Duelen? El proceso es mínimamente invasivo y generalmente indoloro.
- ¿Cómo se cuidan? Como tus dientes naturales: cepillado, hilo dental y visitas regulares al dentista.
- ¿Hay alguna contraindicación? En casos de bruxismo o dientes muy debilitados podría no ser recomendable.
- ¿Se pueden reparar si se rompen? En muchos casos sí, pero a veces puede requerir una carilla nueva.
- ¿Tienen garantía? Dependerá de la clínica, pero generalmente ofrecemos garantías por varios años.
- ¿Puedo ponerme carillas si tengo coronas o empastes? Sí, pero se debe evaluar caso por caso.
Conclusión
Las carillas de porcelana son una excelente opción para aquellos que buscan mejorar su sonrisa. En Santiago de Chile, en nuestra clínica, estamos comprometidos con ofrecer la mejor calidad y resultados estéticos. ¡No esperes más y transforma tu sonrisa hoy mismo!